Мета навчальної дисципліни: підготовка фахівця галузі лабораторної медицини, орієнтованого на сучасні принципи системи управління якістю лабораторних послуг. Опанування дисципліни передбачає набуття кожним здобувачем вищої освіти теоретичних знань та практичних навичок щодо основних принципів забезпечення якості та розвиток культури якості надання лабораторних послуг.
Розробники робочої програми навчальної дисципліни: доцент закладу вищої освіти, к.мед.н., доцент Танасійчук І.С., завідувач кафедри сучасних технологій медичної діагностики та лікування, д.мед.н., проф. Натрус Л.В., асистент закладу вищої освіти Гебура М.П., асистент закладу вищої освіти Полушина Т.М.
Викладач: Танасійчук Ірина Сергіївна, к.мед.наук, доцент кафедри сучасних технологій медичної діагностики та лікування, національний тренер з питань впровадження системи якості лабораторних досліджень за структурованою програмою Американської спілки клінічних патологів (ASCP) та Центру контролю та профілактики захворювань США (CDC) «Підвищення кваліфікації лабораторій в напрямку до акредитації»

Навчальна дисципліна «Сучасні дослідницькі методики та основи планування наукової роботи» розроблена для підготовки здобувачів вищої освіти першого (Бакалаврського) освітнього рівня галузі знань 22 «Охорона здоров’я» за спеціальністю 224 «Технології медичної діагностики та лікування», 2 курс
Розробники програми: завідувачка кафедри, д.мед.н., проф. Натрус Л.В., доцент закладу вищої освіти, к.б.н., ст.н.с. Клись Ю.Г.

Мета навчальної дисципліни: Формування у здобувачів системних знань про сучасні методики лабораторної діагностики та основи планування наукової роботи, а також розвиток практичних навичок у використанні дослідницьких методів, критичному аналізі результатів та оформленні власних наукових проєктів.
для здобувачів першого (бакалаврського) рівня вищої освіти за спеціальністю І6 «Технології медичної діагностики та лікування»
Розробники програми: завідувачка кафедри, д.мед.н., проф. Натрус Л.В., доцент закладу вищої освіти, к.б.н., ст.н.с. Клись Ю.Г.

Метою викладання навчальної дисципліни є оволодіння компетентностями різного спрямування для досягнення здобувачам вищої освіти кінцевих результатів навчання.
Виробнича практика проводиться на клінічних базах кафедри згідно договорів про співпрацю.

Мета викладання дисципліни «Клінічні лабораторні дослідження» (далі – НД) є надання здобувачам вищої освіти системних знань щодо основних принципів інтерпретації результатів лабораторних досліджень на основі базових теоретичних знань та практичних умінь з діагностики патологічних станів та розвиток навичок аналізування та інтерпретації результатів лабораторних досліджень при різних патологічних станах.
Розробники програми: завідувачка кафедри, д.мед.н., проф. Натрус Л.В., доцент закладу вищої освіти, к.мед.н., доцент Чичула Ю.В., професор закладу вищої освіти, д.б.н., ст.н.с. Базалицька С.В., асистент закладу вищої освіти Черновол П.А., асистент закладу вищої освіти PhD Осадчук Ю.С.

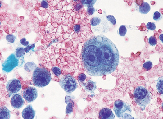
Мета навчальної дисципліни: теоретична підготовка здобувачів вищої освіти та набуття ними практичних навичок цитологічної діагностики найбільш розповсюджених патологічних процесів людини.
Розробники робочої програми навчальної дисципліни: доцент закладу вищої освіти, к.мед.н., доцент Танасійчук І.С., асистент закладу вищої освіти Боцюн П.М., завідувачка кафедри сучасних технологій медичної діагностики та лікування, д.мед.н., проф. Натрус Л.В., асистент закладу вищої освіти Зелінська М.В.
Викладач: Танасійчук Ірина Сергіївна, к.мед.наук, доцент кафедри сучасних технологій медичної діагностики та лікування

Мета навчальної дисципліни: формування у здобувачів вищої освіти другого (магістерського) рівня здатності до поглибленого аналізу, планування, впровадження та оцінювання ефективності системи управління якістю лабораторних послуг відповідно до сучасних міжнародних вимог і стандартів. Опанування дисципліни передбачає розвиток у здобувачів вищої освіти розширених теоретичних знань і професійних практичних навичок щодо управління якістю результатів лабораторних досліджень, формування системного та процесного бачення діяльності медичних лабораторій, а також становлення ризик-орієнтованого способу мислення як основи для прийняття управлінських рішень, удосконалення лабораторних процесів і забезпечення стійкого функціонування системи управління в медичних лабораторіях закладів охорони здоров’я.
Розробники робочої програми навчальної дисципліни: доцент закладу вищої освіти, к.мед.н., доцент Танасійчук І.С., завідувач кафедри сучасних технологій медичної діагностики та лікування, д.мед.н., проф. Натрус Л.В., асистент закладу вищої освіти Гебура М.П., асистент закладу вищої освіти Полушина Т.М.
Викладач: Танасійчук Ірина Сергіївна, к.мед.наук, доцент кафедри сучасних технологій медичної діагностики та лікування, національний тренер з питань впровадження системи якості лабораторних досліджень за структурованою програмою Американської спілки клінічних патологів (ASCP) та Центру контролю та профілактики захворювань США (CDC) «Підвищення кваліфікації лабораторій в напрямку до акредитації»



